Атлас колопроктологических заболеванийЕвгений Иванович Семионкин, Александр Юрьевич Огорельцев
В книге содержатся сведения по основным нозологическим формам в колопроктологии. Особое внимание уделено визуальным проявлениям заболеваний, которые представлены цветными фотографиями. Это важно для правильной диаг ностики и лечения, а также необходимо врачу любой специальности для дальнейшей работы. |
Гэотар-Медиа, Россия, все товары


























































































































































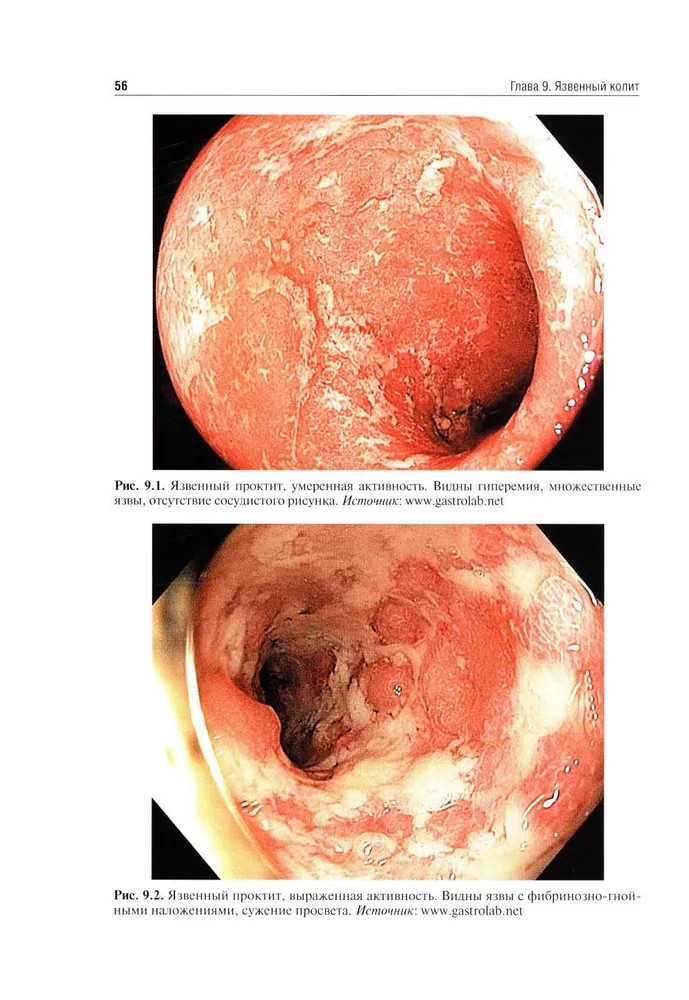
%text%