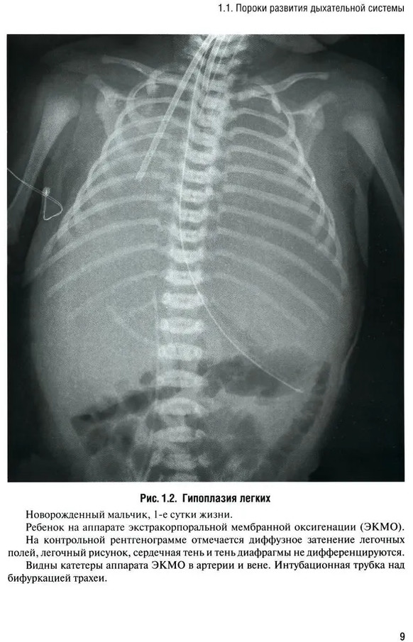
Неотложная рентгенодиагностика в неонатологии и педиатрииЛ. Г. Константинова, Г. Е. Труфанова -25% +80
💳 Оплатить за товар можно при получении 🇰🇿 Есть бесплатная доставка по Казахстану от 1 дня 🎁 Копите бонусы с каждой покупки В Учебном пособии представлены результаты исследований новорожденных и детей с различными заболеваниями органов грудной и брюшной полостей с проведением рентгенологического исследования на основе более 8-летнего обобщения результатов работы рентгеновского отделения Перинатального центра ФГБУ «Национальный медицинский исследовательский центр им. В.А. Алмазова» Минздрава России. |
Элби, Россия, все товары






















































































































































%text%