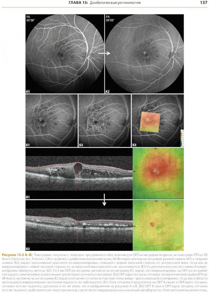
ОКТ-ангиография. Клинический атласВ данный момент этот товар отсутствует в продаже. Возможно, у нас найдется аналогичный или похожий товар здесь. Книга является современным руководством по методике и интерпретации результатов нового эффективного метода лучевого исследования — ОКТ-ангиографии при патологических состояниях макулы, в том числе возрастной макулярной дегенерации, диабетической ретинопатии, телеангиэктазиях макулярной области, близорукости и других заболеваниях, а также при глаукоме. В создании атласа принимали участие ведущие мировые клиницисты и исследователи в области офтальмологии и оптической когерентной томографии. |
Детальная информация
Издательство
Бумага
мелованная
Язык
русский
Переплет
мягкая обложка
Дата выхода
2017
ISBN
978-5-91839-075-7
Количество страниц
204
Код товара
4244705
Издательство
Панфилова, Россия, все товары
Разделы товара





















































































































































%text%