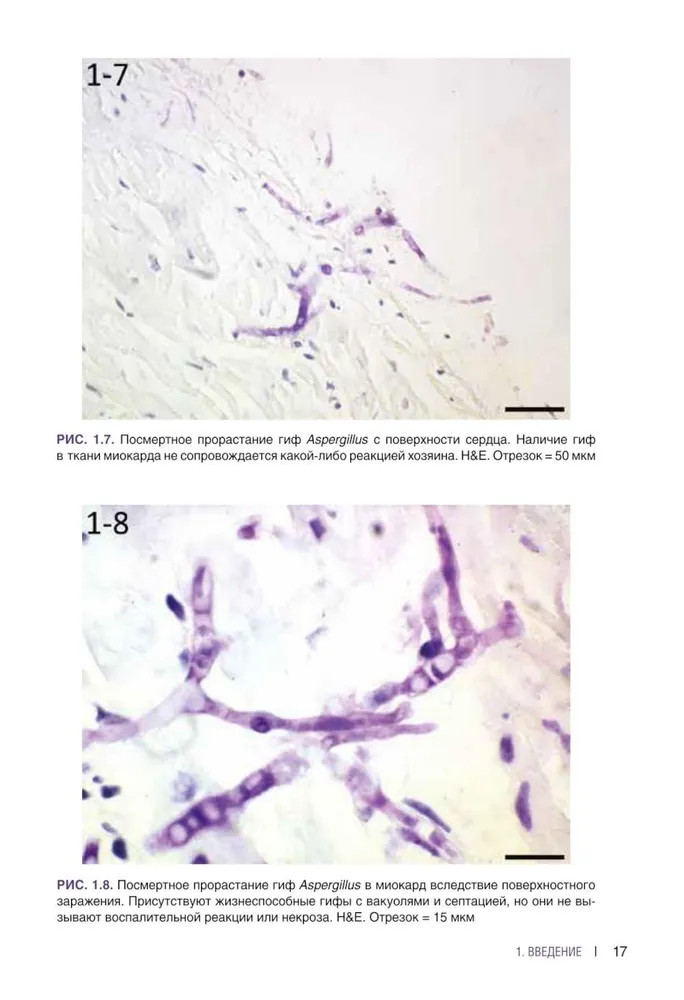
Гистологическая диагностика инвазивных микозов+687
💳 Оплатить за товар можно при получении 🇰🇿 Есть бесплатная доставка по Казахстану от 1 дня 🎁 Копите бонусы с каждой покупки «Гистологическая диагностика инвазивных микозов» — уникальное, не имеющее аналогов в мировой медицинской литературе руководство, написанное патологоанатомом, обладающим многолетним практическим опытом диагностики инвазивных микозов. В книге представлен исчерпывающий обзор всех видов инвазивных микотических инфекций, включая эпидемиологию, морфологическую характеристику тканевых реакций, гистоморфологию патогенных элементов и особенности дифференциальной диагностики. Особого внимания заслуживают высококачественные иллюстрации и детальное описание гистологических признаков, что имеет решающее значение для диагностики инвазивных микозов в биопсийном (операционном) материале. |
Практическая Медицина, Россия, все товары
| Издательство "Практическая Медицина" основано в 2004 году как совместный проект специалистов-медиков и профессионалов издательского дела, имеющих за плечами многолетний опыт работы. |
























































































































































%text%