Ишемический инсульт и нетравматическое внутричерепное кровоизлияние. Формализованные протоколы описания РКТ- и МРТ-исследованийТ. А. Немировская, Р. Н. Хайруллин, Дина Рустемовна Хасанова +434
💳 Оплатить за товар можно при получении 🇰🇿 Есть бесплатная доставка по Казахстану 🎁 Копите бонусы с каждой покупки Учебное пособие составлено на основе действующих клинических рекомендаций. Представлены принципы формализованного подхода и формализованные шаблоны протоколов рентгеновской компьютерной томографии и магнитно-резонансной томографии при остром нарушении мозгового кровообращения и нетравматических внутричерепных кровоизлияниях. Издание предназначено обучающимся в ординатуре по специальности 31.08.09 «Рентгенология», студентам старших курсов медицинских вузов, может быть полезно врачам-рентгенологам сосудистых центров и общей сети, а также может представлять интерес для неврологов, нейрохирургов, врачей смежных специальностей, ординаторов других специальностей. |
Гэотар-Медиа, Россия, все товары























































































































































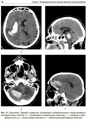
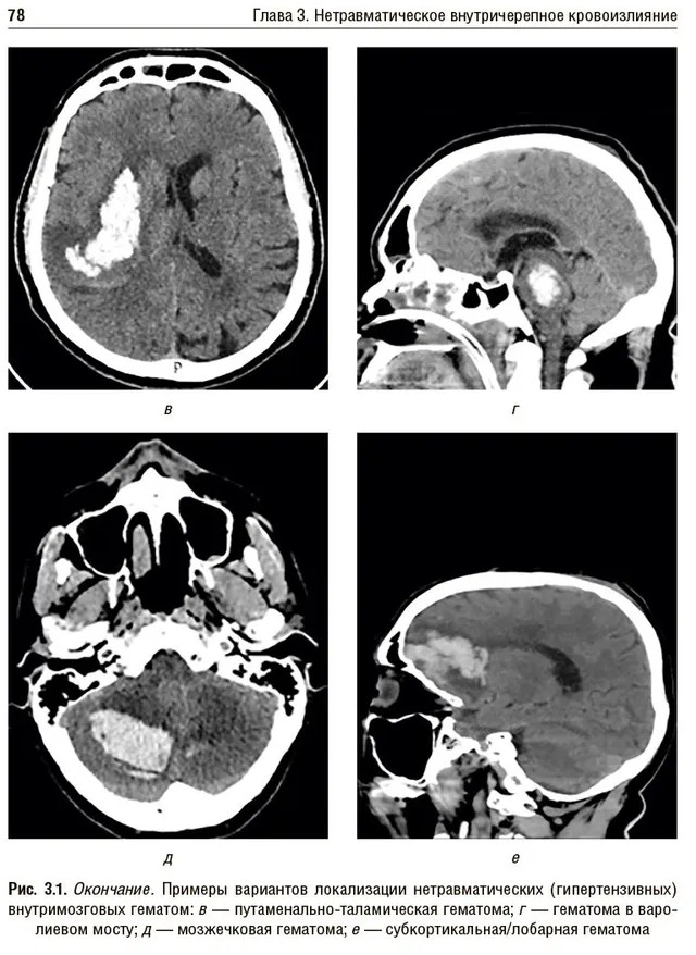
%text%