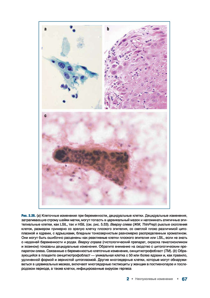
Цервикальная цитология по системе Бетесда. Терминология, критерии и пояснения+818
💳 Оплатить за товар можно при получении 🇰🇿 Есть бесплатная доставка по Казахстану 🎁 Копите бонусы с каждой покупки Настоящий атлас представляет собой руководство по цервикальной цитологии, аналогов которого в отечественной литературе не существует. Цервикальная цитология — одна из важнейших областей клинической онкоцитологии. Это скрининговый метод, с помощью которого можно выявлять не только наличие опухоли, но и устанавливать принадлежность пациентки к группам риска рака шейки матки. В книге обобщен и представлен богатейший опыт специалистов-гинекологов и цитопатологов разных стран. |
Практическая Медицина, Россия, все товары
| Издательство "Практическая Медицина" основано в 2004 году как совместный проект специалистов-медиков и профессионалов издательского дела, имеющих за плечами многолетний опыт работы. |























































































































































%text%