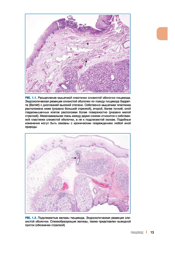
Интерпретация биопсий желудочно-кишечного тракта. Руководство. Том 1. Неопухолевые болезниЭлисабет А. Монтгомери, Лизандра Вольтаджо В данный момент этот товар отсутствует в продаже. Возможно, у нас найдется аналогичный или похожий товар здесь. Краткое, но вместе с тем полноценное руководство по интерпретации биопсий слизистой оболочки желудочно-кишечного тракта при неопухолевых заболеваниях, в котором отражены как распространенные, так и редко встречающиеся болезни. Содержание руководства соответствует повседневной практике и включает биопсии пищевода, желудка, тонкой, толстой кишки, анального канала и заднего прохода, содержит более 240 микрофотографий. |
Практическая Медицина, Россия, все товары
| Издательство "Практическая Медицина" основано в 2004 году как совместный проект специалистов-медиков и профессионалов издательского дела, имеющих за плечами многолетний опыт работы. |
Книги / Медицина и здоровье / Внутренние болезни / Гастроэнтерология























































































































































%text%