Морфологическая диагностика опухолей носа, околоносовых пазух и носоглотки. Руководство-атласАртур Александрович Бахтин, Ольга Александровна Сапегина -25% +124
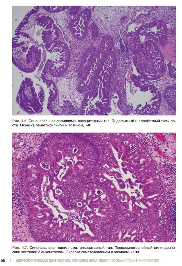
💳 Оплатить за товар можно при получении 🇰🇿 Есть бесплатная доставка по Казахстану от 1 дня 🎁 Копите бонусы с каждой покупки Настоящее руководство-атлас посвящено патоморфологической диагностике опухолей полости носа и носоглотки. Несомненным достоинством книги является систематизированное, лаконичное и вместе с тем весьма информативное изложение текстового материала (клинико-эпидемиологическая картина, морфологическая характеристика, дифференциально-диагностический ряд, необходимые дополнительные методы исследования), а так-же более 170 цветных микрофотографий наблюдений из собственной клинической практики с подробными подписями. Наряду с опухолями в книге представлен раздел наиболее часто встречающихся неопухолевых процессов синоназального тракта, необходимых для дифференциального диагноза. Руководство-атлас предлагает структурированный подход с унифицированным изложением современных данных о клинических и морфологических особенностях доброкачественных и злокачественных опухолей носа и носоглотки. |
Практическая Медицина, Россия, все товары
| Издательство "Практическая Медицина" основано в 2004 году как совместный проект специалистов-медиков и профессионалов издательского дела, имеющих за плечами многолетний опыт работы. |






















































































































































%text%