Оперативная дентистрияАндрей Анатольевич Чунихин, Эрнест Арамович Базикян -25% +117
💳 Оплатить за товар можно при получении 🇰🇿 Есть бесплатная доставка по Казахстану от 1 дня 🎁 Копите бонусы с каждой покупки Учебное пособие соответствует требованиям федерального государственного образовательного стандарта высшего образования по специальности «Стоматология» и программе по дисциплине «Стоматология» с учетом модернизации медицинского образования. Материал изложен по блок-модульной системе, является базовым, призван помочь в формировании у студентов профессиональных знаний, компетенций, навыков и практических умений по препарированию кариозных полостей и препарированию твердых тканей зуба под ортопедические конструкции. |
Гэотар-Медиа, Россия, все товары
Андрей Анатольевич Чунихин, все товары


























































































































































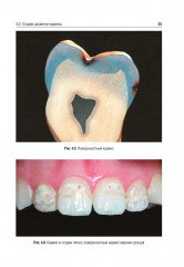
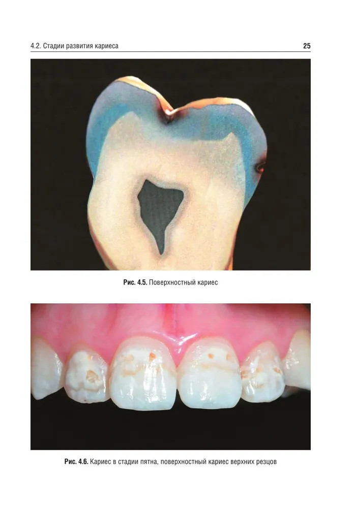
%text%