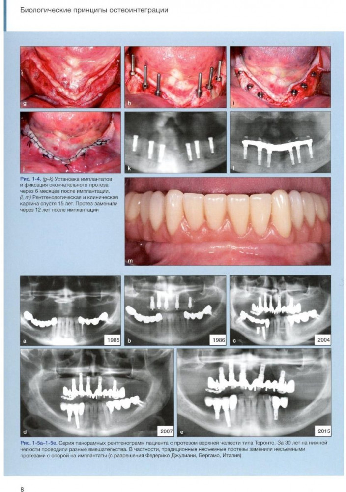
Имплантаты под наклоном. Протезирование с опорой на имплантаты при выраженной атрофии челюстейВ данный момент этот товар отсутствует в продаже. Возможно, у нас найдется аналогичный или похожий товар здесь. При выраженной атрофии челюстей клиницисты нередко прибегают к инвазивным вмешательствам, направленным на увеличение утраченной костной ткани (реконструктивные операции, синус-лифтинг). Установка имплантатов под наклоном позволяет избежать необходимости таких операций и использовать имплантаты относительно большой длины. Кроме того, в таких случаях можно прибегать к немедленному протезированию, например, с помощью протокола «Все-на-4», скуловых имплантатов или авторского протокола V-II-V. В данной книге впервые подробно обсуждаются теоретические и клинические аспекты различных протоколов имплантации под наклоном. |
Детальная информация
Издательство
Язык
русский
Переплет
твердый переплет
Дата выхода
2021
ISBN
978-5-604-29512-0
Количество страниц
442
Код товара
2853112
Издательство
Авторы
Авторы
Разделы товара














































































































































%text%