| Эстетическая и реставрационная стоматология. Выбор материалов и методов
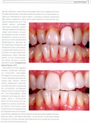
 Для работы над своей книгой доктор Дуглас Терри привлек группу ведущих экспертов в разных областях стоматологии. В результате этого специалисты, которым она адресована, имеют возможность познакомиться с решением сложных клинических задач при использовании самых современных методов и материалов. Особое внимание в книге уделено диагностике, а также коммуникации участников процесса лечения. В ней тщательно проанализированы разные варианты препарирования зубов, получения оттисков, создания временных реставраций и окончательных протезов. Отдельная глава посвящена особенностям всегда актуальной проблемы фиксации виниров, мостовидных протезов, металлокерамических и цельнокерамических конструкций. Кроме того, Дуглас Терри включил в свою книгу главу, посвященную ведению клинической документации и фотографированию.  | 
Детальная информация
    Издательство
Язык
русский
Переплет
твердый переплет
Дата выхода
2013
ISBN
978-5-91443-024-2
Количество страниц
706
Код товара
5211377
Издательство
Авторы
Авторы
Разделы товара








































































































































































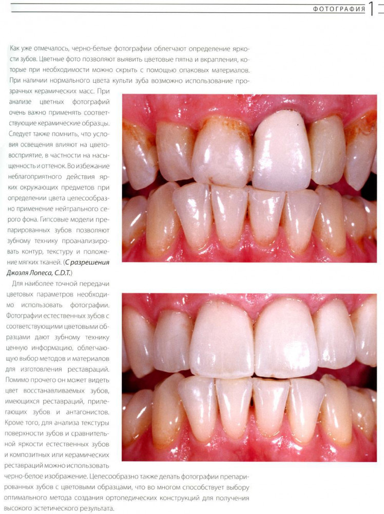
%text%