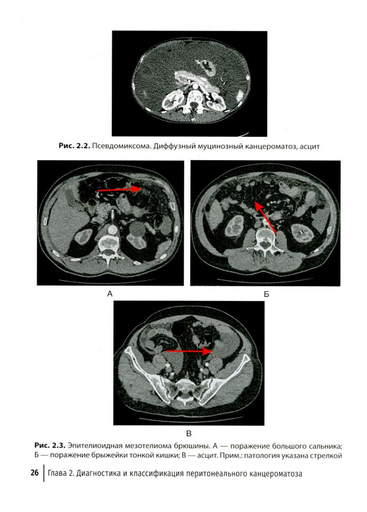
Диагностика и хирургическое лечение перитонеального канцероматоза+686
💳 Оплатить за товар можно при получении 🇰🇿 Есть бесплатная доставка по Казахстану 🎁 Копите бонусы с каждой покупки В руководстве представлена информация о перитонеальном канцероматозе, источником которого могут быть разные опухоли: псевдомиксома брюшины, мезотелиома, рак яичников. Отдельные главы посвящены методике циторедуктивных операций, лечебной тактике при продолженном росте псевдомиксомы, возможности сохранения фертильности при канцероматозе и др. Структура книги позволяет рассмотреть частные вопросы, касающиеся индивидуальных особенностей опухолей, и отдельно общие подходы к лечению, которые используются вне нозологического принципа и являются, по сути, унифицированными (например, рентгенологическая диагностика, хирургическая техника, ведение пациентов в послеоперационном периоде). Издание предназначено хирургам, онкологам, химиотерапевтам, акушерам-гинекологам, колопроктологам, рентгенологам. |
Гэотар-Медиа, Россия, все товары




























































































































































%text%