Клиническая дерматология. Акнеподобные и папулосквамозные дерматозыновинка
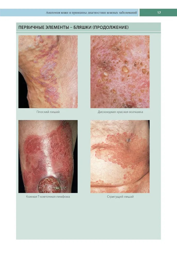
Данная книга представляет собой практическое руководство, которое может быть также использовано как справочный ресурс и опытными, и начинающими врачами, а также преподавателями и студентами медицинских вузов. В руководстве подробно рассматриваются акне и акнеподобные заболевания, а также псориаз и другие папулосквамозные дерматозы. В издание включены описания классического течения заболеваний и клинических вариантов, которые наблюдаются на разных стадиях этих болезней, методы диагностики и лечения. Книга содержит большое число цветных иллюстраций, приведены ссылки на базу данных PubMed, дерматологический формуляр лекарственных средств, упоминаемых в книге. Книгу по достоинству оценят дерматологи, аллергологи, педиатры, средний медицинский персонал, преподаватели и студенты высших и средних медицинских учебных заведений. |
МЕДпресс-информ, Россия, все товары
| Издательство «МЕДпресс-информ» — эксперт в области выпуска медицинской литературы, ориентированной на врачей всех специализаций, а также студентов средних и высших медицинских учебных заведений. Наше издательство специализируется на создании качественных публикаций, обогащающих медицинское сообщество необходимыми знаниями и практическим опытом. Независимо от специализации, каждый врач найдет у нас актуальные исследования, клинические рекомендации и сведения о новейших разработках в области... |


























































































































































%text%